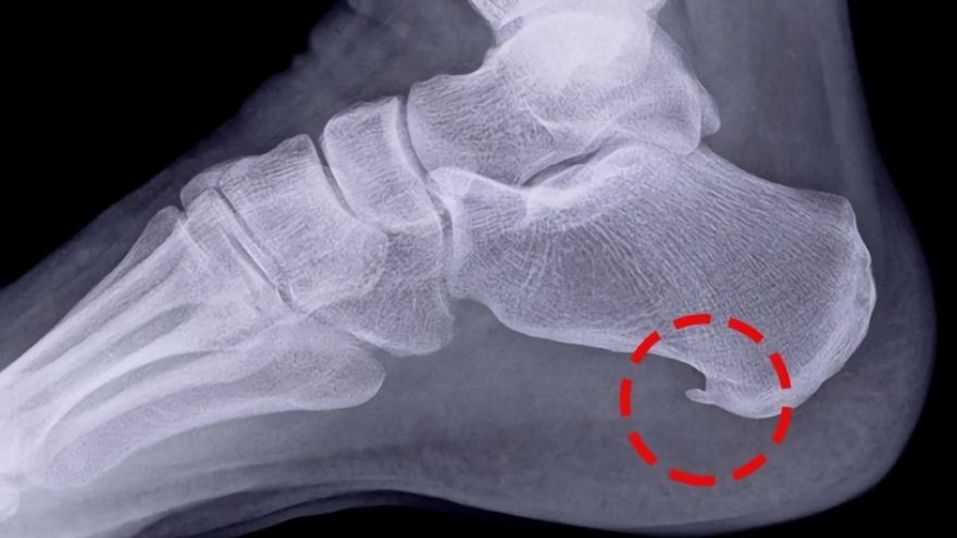
Tıptaki adı plantar fasit olan topuk dikeni, topuk kemiğinin altında, ayak tabanında yer alan ‘plantar fasya’ adı verilen bağ dokusunun iltihaplanması sonucu oluşan bir durumdur. Bu durum uzun süre devam ettiğinde topuk kemiğinde kalsiyum birikmesi meydana gelir ve röntgende diken şeklinde bir çıkıntı görülür. Bu durum halk arasında ‘topuk dikeni’ olarak adlandırılır.
Ayak kemiği sürekli strese maruz kaldığında topuk kemiği altında kireçlenme oluşur. Günlük yaşamda bu durumun etkisi yoktur fakat stres faktörlerine sürekli maruz kalınırsa topuk kemiğinin alt kısmı diken benzeri bir şekilde çıkıntı yapar. Bu çıkıntının sebebi ise topuk kemiğindeki tendonda yangı meydana gelmesi ve kemiğe tutunduğu bölgesinin sertleşerek kemikleşmesidir. Şişmanlık, düztabanlık, sert ve düz tabanlı ayakkabı ile yüksek topuklu ayakkabı giymek topuk dikeni riskini arttıran faktörlerdendir.

Topuk Dikeninin Nedenleri Nelerdir?
Uzun süre ayakta kalmak: Özellikle sert zeminlerde çalışanlar risk altındadır.
Uygun olmayan ayakkabı kullanımı: Desteksiz, düz tabanlı veya topuksuz ayakkabılar kullanmak.
Aşırı kilo: Ayağa binen yük artar, plantar fasya zorlanır.
Düz taban ya da yüksek kavisli ayak yapısı: Ayaktaki yük dengesi bozulur.
Koşu, zıplama gibi aktiviteler: Plantar fasyayı zorlayabilir.

Topuk Dikeninin Belirtileri Nelerdir?
- Özellikle sabah ilk adımlarda topukta batıcı ve keskin ağrı.
- Gün içinde ayakta kalma süresi arttıkça artan ağrı.
- Uzun oturduktan sonra ayağa kalkınca başlayan ağrı.

Hastalığın Tedavi Yöntemleri Nelerdir?
· İstirahat ve ayak üzerine fazla binmemek
· Uygun ayakkabı ve ortopedik tabanlık kullanımı
· Soğuk uygulama (günde birkaç kez 15-20 dakika)
· Esneme egzersizleri (özellikle baldır ve ayak tabanı kasları için)
· Fizik tedavi uygulamalar
· İlaç tedavisi: Antiinflamatuar ağrı kesiciler
· Steroid enjeksiyonları (ilerleyen vakalarda)
· Şok dalga tedavisi (ESWT): Yeni nesil tedavi yöntemidir.
· Cerrahi müdahale: Çok nadir ve diğer tüm tedaviler başarısız olursa düşünülür.





