Kearns Sayre sendromu (KSS), mitokondrilerdeki DNA bozukluklarından kaynaklanan, nadir görülen fakat yaşam kalitesini önemli ölçüde etkileyebilen bir hastalıktır. Mitokondriler hücrelerin enerji üretim merkezleridir; bu nedenle KSS, enerjiye ihtiyaç duyan organlarda belirgin sorunlara yol açar. Hastalık genellikle 20 yaş öncesinde başlar ve ilerleyici seyir gösterirken genellikle çocukluk ya da ergenlik döneminde belirti vermeye başlar ve zamanla ilerleyerek göz kaslarında güçsüzlük, görme problemleri, yorgunluk ve kalp ritim bozuklukları gibi semptomlarla kendini gösterir. KSS, çoklu organları etkileyen yapısı nedeniyle dikkatli takip gerektirir ve erken tanı, hastanın yaşamını daha iyi sürdürebilmesi için büyük önem taşır.
Kearns Sayre Sendromunun Nedenleri Nelerdir?
Kearns Sayre sendromunun temel nedeni, mitokondriyal DNA’da meydana gelen büyük ölçekli delesyonlardır. KSS’nin nedenleri şunlardır:
Genetik Yapı: Çoğu vaka rastlantısal oluşur, kalıtsal değildir fakat bazı nadir vakalarda anne aracılığıyla geçiş görülebilir.
Enerji Üretimindeki Bozukluk: Mitokondriler yeterince enerji üretemediğinde özellikle göz kasları, kalp ve sinir sistemi etkilenir.
Kearns Sayre Sendromunun Belirtileri Nelerdir?
KSS çoklu sistemleri etkilediği için belirtiler geniş bir yelpazede ortaya çıkar. Bu belirtilerden bazıları ise şunlardır:
· Üst göz kapağı düşüklüğü (ptozis)
· Göz hareketlerinde kısıtlılık
· Görme kaybı
· Yorgunluk ve kas güçsüzlüğü
· Kalp ritim bozuklukları
· İşitme kaybı
· Koordinasyon bozuklukları
· Endokrin sorunlar (diyabet, büyüme geriliği, tiroit problemleri)

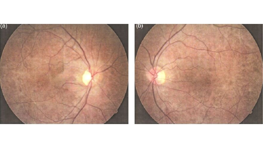
Nasıl Tanı Konulur?
KSS tanısı klinik bulgular ve özel testlerle doğrulanır. Bu bulgular ve testler şunlardır:
· Göz muayenesi
· Kas biyopsisi
· Mitokondriyal DNA analizi
· Kalp ritmi ve EKG
· Beyin MR görüntülemesi
Tedavi Yöntemleri Nelerdir?
KSS’nin kesin bir tedavisi bulunmamaktadır fakat belirtileri hafifletmek ve ilerlemeyi yavaşlatmak mümkündür.
Destekleyici Yaklaşımlar: Koenzim Q10 ve antioksidan takviyeleri, fizik tedavi, göz kapağı cerrahisi, denge ve kas güçlendirme programları
Kalp Takibi: KSS’de kalp ritim bozuklukları ciddi risk yaratabilir. Düzenli kardiyoloji kontrolleri yapılmalıdır ve gerekirse kalp pili takılır.





