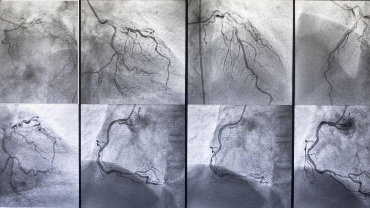
Kalp damar hastalıklarında erken teşhisin önemine vurgu yapan Kardiyoloji Uzmanı Prof. Dr. Ertuğrul Okuyan, özellikle kalp krizi sırasında tıkalı damarların hızla açılmasının hayati olduğunu söyledi. Prof. Dr. Okuyan, koroner anjiyografinin hem tanı hem tedaviyi aynı anda sunabildiğini belirterek, işlem sonrası yaşam tarzının da en az tedavi kadar önemli olduğunu ifade etti.
Kalp Sağlığında Anjiyografinin Hayati Önemi
Kardiyoloji Uzmanı Prof. Dr. Ertuğrul Okuyan, kalp krizi geçiren bir hastada tıkalı damarların “her saniye” kalp kasına zarar verdiğini belirterek koroner anjiyografinin zamanla yarışan bir müdahale sunduğunu söyledi.
Okuyan, bu yöntemin sadece kriz anında değil, göğüs ağrısı ve nefes darlığı gibi şikâyetlerde de tıkanıklığı erken tespit ederek önemli riskleri önlediğini vurguladı.
Teşhis ve Tedavi Bir Arada
Anjiyografinin genellikle bilekten yapıldığını anlatan Prof. Dr. Okuyan, işlem sırasında kalbe giden damarların net şekilde görüntülendiğini ve tıkanıklık saptanırsa balon ya da stentle hemen açıldığını söyledi. Bazı hastalarda ise damar yapısına bağlı olarak bypass ameliyatının daha uygun olabileceğini belirtti.
Herkesin Damar Yapısı Farklı
Prof. Dr. Okuyan, her hastanın damar yapısının birbirinden farklı olduğunu, kimi damarların elastik ve kısa, kimilerinin ise daha kireçli veya ince olduğunu söyledi. Bu nedenle tedavi yönteminin kişiye özel seçildiğini ifade etti.
Tedavi Bitince Sorumluluk Bitmiyor
Anjiyografi veya stent sonrası dikkat edilmesi gereken en önemli noktanın yaşam tarzı olduğunu belirten Okuyan, hastaların tansiyon ve kolesterol kontrolüne özen göstermesi, sigaradan uzak durması ve düzenli egzersiz yapması gerektiğini söyledi. “Aksi halde damarlar tekrar tıkanabilir” diyerek uyardı.
Tedavi Sürecinde Ortak Karar
Tedavilerin kardiyologlar ve kalp damar cerrahlarının ortak değerlendirmesiyle belirlendiğini dile getiren Prof. Dr. Okuyan, hastanın damar yapısına ve tıkanıklığın yerine göre en doğru yöntemin ekip tarafından birlikte seçildiğini ifade etti.




